Місія (соціальна мета) Проекту Face to Face: надати можливість діагностики та висококваліфікованої медичної допомоги за рахунок Стоматологічної клініки доктора Дахно для 20 дітей з зубо-щелепними дефектами і деформаціями, що спрямоване на поліпшення якості життя таких дітей і подолання соціального неприйняття.
Ксенія, 15 років
Місто: Київ
Основний діагноз зі слів батьків: велика нижня щелепа, дівчинка соромиться посміхатися.
Клінічний діагноз: вертикальний тип росту, скелетний клас III, асиметричний за рахунок зміщення нижньої щелепи вправо. Зубо-альвеолярне співвідношення по класу III, набута втрата зубів 36,46, скупченість фронтальної групи зубів обох щелеп.
Мал.1. 3D реконструкція кісток лицьового черепа. 3D цефалометрія
Мал.2. Аналіз дихальних шляхів показав мікрогнатію (недорозвинення верхньої щелепи) і пов’язане з нею ретроположення язика, що призвело до зниження обсягу дихальних шляхів на рівні ротоглотки.
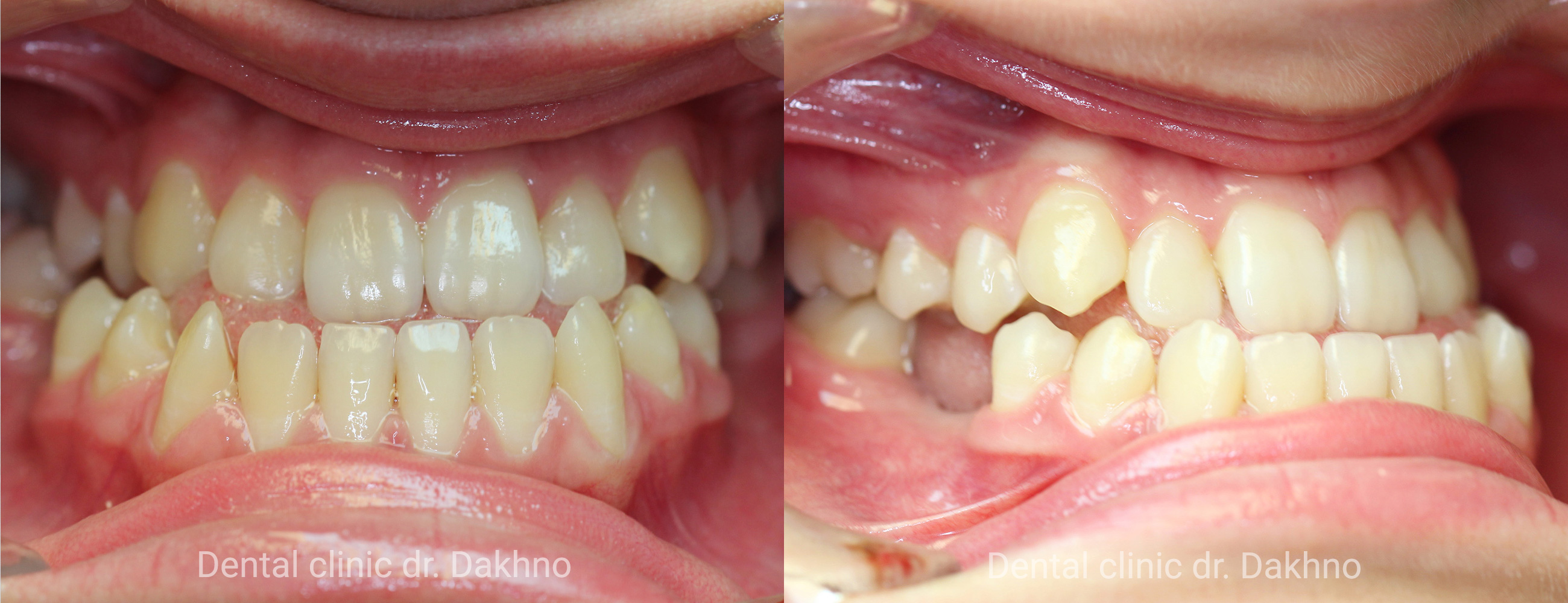
Липень 2017 Діагностичний внутрішньоротовий фотопротокол.
Вересень 2017. Перший етап ортодонтичного лікування спрямований на структурне розширення верхньої щелепи за рахунок фіксованого апарату HYREX на оклюзійних накладках, що дозволило відразу ж приступити до ортодонтичного лікування нижньої щелепи за допомогою фіксованої брекет-системи.
Жовтень 2017 Закінчено розширення та стабілізація потрібної ширини верхньої щелепи. Знятий апарат з верхньої щелепи. Потрібно відзначити, що Ксенія сумлінно ставилася до I етапу ортодонтичного лікування і ретельно доглядала за зубами і конструкціями, що дозволило зберегти здорову емаль зубів. Оскільки Ксенія відповідально відноситься до гігієни порожнини рота лікар-ортодонт Мітюріна Тетяна Володимирівна прийняла рішення про впровадження двох мікроімплантів в область премолярів на нижній щелепі для мезіалізації других молярів.
Лютий 2018 Продовження ортодонтичного лікування. Фіксована брекет-система на зуби верхньої щелепи.
Березень 2018 Продовження ортодонтичного лікування. Фіксація дуг з петлями. Ксенія навчена фіксувати еластики по III класу.
Квітень 2018 Продовження ортодонтичного лікування. Проведена професійна гігієна. Вилучено мікроімпланти. Сумлінне носіння еластиків дозволило вперше добитися правильного перекриття зубів і скорочення об’єму відкритого прикусу.
Травень 2018 Хороший відгук зубного ряду на гнуті петлі. Нарешті прорізалися треті моляри на нижній щелепі, що дає надію на відновлення цілісності зубного ряду.
Червень 2018 Продовження ортодонтичного лікування.
Січень 2019 Продовження ортодонтичного лікування. Фіксація дуги з омега-петлями на нижню щелепу. Ксенія навчена фіксувати косі еластики.
Липень 2019 Продовження ортодонтичного лікування. Завершальна фаза. Для корекції положення зубів нижньої щелепи фіксований ланцюжок.
Вересень 2019 Ортодонтичне лікування завершено. Зубний ряд і прикус стабільні. З Ксенією і мамою обговорили питання зняття всієї ортодонтичної апаратури.
Жовтень 2019 Контрольний фотопротокол. Лікування закінчено. Ретенція зубних рядів забезпечена капами. Незважаючи на складну багатоетапну ортодонтичну апаратуру, яка була використана на етапах ортодонтичного лікування зуби повністю зберегли свій стан і цілісність, завдяки ретельній індивідуальній гігієні і старанням Ксенії.
Лікування закінчено. Відгук від мами Ксенії




























